Bunion Surgery – Before and After Pictures

View our patients before and after bunion surgery pictures performed by our nationally-recognized bunion surgeons.

Is Bunion Surgery Is Right For You?

Many people want to avoid bunion surgery as much as they can because they dread a long and painful recovery. Avoiding surgery is always a good idea and it is our goal with our patients.

Now some reading this may find that contradictory and might be wondering “why would a surgeon want to avoid performing surgery?” The answer is simple, because we personally want to avoid surgery for ourselves, whenever possible. So why wouldn’t we try our best to give the same care to our patients?

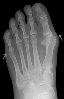
Before

Lapidus Forever Bunionectomy™ Before image

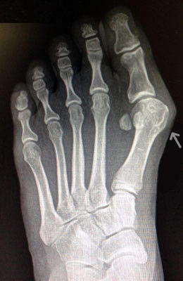
After

Lapidus Forever Bunionectomy™ after image

Lapidus Forever Bunionectomy™

Whitney, a 47-year-old businesswoman who could not fit into her dress shoes because of her bunion and terrible calluses caused by it. We performed a Lapidus Forever Bunionectomy™ on her big toes and she was able to bear weight on her foot 2 weeks after surgery and was back in her heels at 8 weeks post-surgery with no pain and now an amazing looking foot. After image was taken 12 weeks post-op.

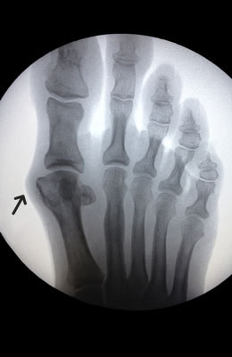
Before

Minimally Invasive Bunion Surgery before

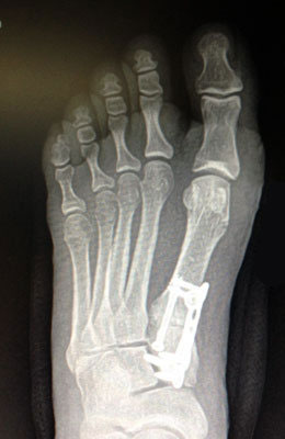
After

Minimally Invasive Bunion Surgery after

Minimally Invasive Bunion Surgery featuring the miniBunon™ System and Tailors Bunionectomy

Melissa is a 32-year-old businesswoman who could not be off her foot post-surgery, yet she had a severely painful bunion. We performed our miniBunon™ System (our trademarked minimally invasive bunion surgery) and had a dramatic correction with no downtime. Melissa continued to work after her bunion surgery and was back in shoes and full activity at 5 weeks. Melissa could not believe the results of her Bunionectomy resulting in no bony bump, no scar and amazing motion. “After” picture taken immediately following surgery. Note the bunion and bunionette (Tailor’s bunion) in the before picture.

Before

Minimally Invasive Bunion Surgery featuring the CrossRoads miniBunion™ System before

After

Minimally Invasive Bunion Surgery featuring the CrossRoads miniBunion™ System after

Minimally Invasive Bunion Surgery featuring the CrossRoads miniBunion™ System

Eva is a 24-year-old female who had just began working at a job that required high fashion shoes. She was in constant pain but could not take time off work. Our miniBunion™ Minimally Invasive Bunionectomy allowed her to continue to work and be on her foot with full recovery and return to regular shoes by 6 weeks. She had an amazing range of motion, no more bunion pain, and absolutely no visible incision. After picture taken six weeks post-surgery.

Before

Lapidus Forever Bunionectomy™ before

After

Lapidus Forever Bunionectomy™ after

Lapidus Forever Bunionectomy™

Jamie is a 53-year-old nurse who was having trouble with pain in her foot and arch and a painful bunion. Our Lapidus Forever Bunionectomy™ was utilized to correct her bunion and to stabilize her foot, arch and of course big toe joint. Jamie was back at work at 10 weeks post-surgery with full function and no pain (she didn’t even take an anti-inflammatory like ibuprofen).

Before

Lapidus Forever Bunionectomy™ and Hamertoe Correction before

After

Lapidus Forever Bunionectomy™ and Hamertoe Correction after

Lapidus Forever Bunionectomy™ and Hamertoe Correction

Amanda is a 37-year-old mother who could not take much time off her foot and needed correction of a very large bunion (hallux valgus) that had also resulted in a hammertoe and partial discoloration of the 2nd toe joint. Amanda had a Lapidus Forever Bunionectomy™ and was back on her foot at 2 weeks after surgery and able to take care of her young children while she healed. Her bunion correction results are amazing, and her foot is fully back to normal.

Before

Lapidus Forever Bunionectomy™ and Hammertoe Correction before

After

Lapidus Forever Bunionectomy™ and Hammertoe Correction after

Lapidus Forever Bunionectomy™ and Hammertoe Correction

George is a 62-year-old businessman who presented with a sore on his second toe from rubbing on his shoes. We decided to correct his foot as a whole and performed several orthopedic surgical procedures as she had both types of bunions. He chose our Lapidus Forever Bunionectomy™, a hammertoe correction and an osteotomy for his Tailor’s Bunion (bunionette). George was weight bearing on his foot at two weeks and back in regular shoes at 8 weeks with no pain and full function.

Before

Lapidus Forever Bunionectomy™ and Hamertoe Correction before

After

Lapidus Forever Bunionectomy™ and Hamertoe Correction after

Lapidus Forever Bunionectomy™ and Hamertoe Correction

Amanda is a 37-year-old mother who could not take much time off her foot and needed correction of a very large bunion (hallux valgus) that had also resulted in a hammertoe and partial discoloration of the 2nd toe joint. Amanda had a Lapidus Forever Bunionectomy™ and was back on her foot at 2 weeks after surgery and able to take care of her young children while she healed. Her bunion correction results are amazing, and her foot is fully back to normal.

Before

Lapidus Forever Bunionectomy™ and Hammertoe Correction before

After

Lapidus Forever Bunionectomy™ and Hammertoe Correction after

Lapidus Forever Bunionectomy™ and Hammertoe Correction

George is a 62-year-old businessman who presented with a sore on his second toe from rubbing on his shoes. We decided to correct his foot as a whole and performed several orthopedic surgical procedures as she had both types of bunions. He chose our Lapidus Forever Bunionectomy™, a hammertoe correction and an osteotomy for his Tailor’s Bunion (bunionette). George was weight bearing on his foot at two weeks and back in regular shoes at 8 weeks with no pain and full function.

Bunion Surgery and Recovery Should Be a Pleasant and Comfortable Experience

Many patients who are faced with surgery, either when conservative treatments have not worked or their condition is so serious there are no other options, have concerns about how long it will take to get back on their feet or that it will hurt like crazy. These fears are certainly often well-founded, especially if they have done their homework reading about surgical procedures online.

But Bunion correction technology and pain management have become much more advanced over the years, partially due to technologies, techniques, and protocols we helped develop. We now teach these techniques to other doctors nationally and we are trying to improve care to as many people as we can since we know that most people who are not near us cannot travel to see us.

Before

miniBunion™ Minimally Invasive Bunion Surgery, Hammertoe Correction and Plantar Plate Repair before

After

miniBunion™ Minimally Invasive Bunion Surgery, Hammertoe Correction and Plantar Plate Repair after

MinVasive™ mini Bunion™ System and Tailors Bunion

Anna is a 36-year-old working mother of two. She could not be off her foot at all post-surgery. Anna had our MinVasive™ miniBunion™ System (minimally invasive bunion surgery) and osteotomy Tailor’s Bunionectomy (for her little toe bunionette). She was able to put weight on her foot right after surgery and was in shoes at 5 weeks after surgery. Her incisions are less than one centimeter and completely invisible at 5 weeks.

After image was taken approximately 3 weeks post-surgery.

Before

After

Lapidus Forever Bunionectomy™

Jeanne is a 54-year-old active athlete who was training for a triathlon until her foot gave out. He has blisters and pain on her bunion from her lack of proper shoe fit. We performed our Lapidus Forever Bunionectomy™ and kept Jeanne training throughout her recovery process. Jeanne completed a triathlon just 12 weeks post-surgery and had no pain at any time after her surgery.

“After picture” taken at first post-op visit five days post-surgery.

Essentially Pain-Free Bunion Surgery

Despite pre-surgical fear of pain and recovery, virtually all our patients report they wish that had surgical correction sooner and hadn’t put it off as long as they did. This is remarkably rewarding for us.

Through our advances in surgical techniques such as our Forever Bunionectomy and Minvasive procedures, recovery time is drastically reduced, often allowing you to bear weight immediately.

Our Bunion Surgeons Control Pain By:

  • Taking great care of the tissue with surgical precision. Never “hacking away” at the tissue. This takes years of training and effort to perform good dissection.
  • A stable fixation to immobilize the bones. Hypermobility in the bones is one of the main causes of swelling and pain after surgery. Through the use of screw(s) and/or staple or plates, the bone is held properly in the area of correction resulting in less movement, less swelling and ultimately less painkiller use.
  • A proprietary long-acting local anesthesia cocktail. The longer a person is numb, the better the chance for them to get in bed, relax and heal.
  • Post-surgical anti-inflammation protocols and no major narcotics. In our hands, patients will rarely take more than one or two pain pills after surgery.

    Fitting the patient with a stability boot to immobilize the foot. By holding the foot stable, there is less movement, resulting in less swelling and less pain.

We Rely on Advanced Surgical Technique to Control Pain, Not Just Drugs

We don’t rely on painkillers to keep our patients comfortable. Narcotics cause constipation and can be addictive. Unless the surgery is extensive, our patients rarely take over two pain pills after surgery, and then need nothing more than Tylenol and an anti-inflammatory in recovery.

Post-surgical pain results from movement and swelling. If you can control these factors, you can control the pain.

Before

miniBunion™ Minimally Invasive Bunion Surgery, Hammertoe Correction and Plantar Plate Repair before

After

miniBunion™ Minimally Invasive Bunion Surgery, Hammertoe Correction and Plantar Plate Repair after

miniBunion™ Minimally Invasive Bunion Surgery, Hammertoe Correction and Plantar Plate Repair

Amanda had very serious foot problems. Her bunion was very large and had resulted in pressure under her second toe which had torn the plantar plate and also caused a hammertoe. We performed our Minimally Invasive Bunionectomy (featuring the CrossRoads mini Bunion™️ System), on Amanda and also corrected her plantar plate tear on her 2nd toe joint as well as her hammertoe 2nd toe. She was back running at 8 weeks with her orthotics (shoe inserts) and had no pain at any time after surgery. She did not even use ibuprofen, just an ice pack! “After picture” taken six weeks after surgery.

Before

Osteotomy Bunion Surgery before

After

Osteotomy Bunion Surgery

Maria is a 67-year-old female with a failed previous bunion surgery. She has a return of the bunion and a very painful and stiff joint. Maria had an open osteotomy bunionectomy with no pain during recovery and an amazing result. She was on her foot right after surgery and was back in shoes in 5 weeks. She is now back to running and playing tennis and grateful for her outcome. After picture taken six weeks after surgery.

Can a Bunion Come Back After Surgery?

For the right patient and with the right surgeon, the Forever Bunionectomy is the only procedures that offers a near zero percent of bunion recurrence.

The Lapidus procedure, has been the “gold standard” of bunion surgery for the past five years. It is the most advanced and permanent option ever available for bunion correction. Our surgeons have further perfected a version of this surgery trademarking it as the “Forever Bunionectomy”.

By infusing the patient’s own stem cells and amniotic cells from the bone marrow during surgery, performing very stable fixation and correcting the deformity at the source, the patient often has speedy recovery, less down time, early weight bearing and reduced scarring.

Before

Forever Lapidus Bunionectomy™ and Hammertoe Correction before

After

Forever Lapidus Bunionectomy™ and Hammertoe Correction

Elizabeth is a 55-year-old female with multiple foot issues. She had a severe bunion deformity and also had severe hammertoe deformities which required additional correction. We performed a Forever Lapidus Bunionectomy™ on her bunion deformity and also corrected her hammertoes with our revolutionary Ossio implant which forms bone instead of using metal. Her result speaks for itself and Elizabeth could not be happier. After image taken 3 months post surgery.

Before

Osteotomy Bunionectomy before

After

Osteotomy Bunionectomy after

Osteotomy Bunionectomy

Mimi is a 77-year-old female with a stiff great toe joint also known as Hallux Rigidus but also a small but painful bunion. Mimi had an osteotomy bunionectomy with removal of the arthritis and correction of the bunion deformity all at once. She was on her foot right after surgery and back in shoes at 5 weeks with no pain (only using over-the counter anti-inflammatory) and much improved big toe range of motion.

The after picture was taken eight weeks after surgery.

Are You Considering Bunion Revision Surgery?

For anyone who has gone through bunion surgery once, and are a facing the same surgery again, it must be tremendously unsettling. We get it. About 40% of all our bunion surgeries are revision surgeries.

But you can rest assure. We have the highest success rates in the nation and are internationally known for our surgeons and their techniques. If you are thinking about a revision surgery, the first step to possibly ease your apprehension, is to meet with one of our doctors, talk with them, looks them in the eye, and go with your gut.

Before

Osteotomy Bunionectomy and Osteotomy Tailors Bunionectomy BEFORE

After

Osteotomy Bunionectomy and Osteotomy Tailors Bunionectomy

Barbara is a 34-year-old working mother of 3 with a painful and somewhat arthritic bunion and tailor’s bunion in her fifth metatarsal. Not only did she have a bunion, but she has hallux rigidus with a stiff great toe and bursitis. We used our osteotomy bunionectomy and osteotomy tailor’s bunionectomy to correct her bunion deformity and also get rid of her forming arthritis. She was able to continue to work and place weight on her foot right after surgery and was back in shoes at 5 weeks post-surgery. Barbara worked throughout her recovery and never missed a beat.

The after picture taken immediately after surgery.

Before

Lapidus Forever Bunionectomy™ and Hammertoe Correction with Tailor's Bunionectomy before

After

Lapidus Forever Bunionectomy™ and Hammertoe Correction with Tailor's Bunionectomy after

Lapidus Forever Bunionectomy™ and Hammertoe Correction with Tailor's Bunionectomy

Michael had neglected his painful foot for years because he was afraid of surgery and the pain. His condition deteriorated to much that he had a dislocated second toe, a bunion and tailor’s bunion deformity and severe hammertoes. Our foot and ankle surgeons performed extensive surgery on his foot correcting his bunion with a Lapidus Forever Bunionectomy™, relocation of his 2nd and 3rd metatarsal bone with metatarsal osteotomies and plantar plate repairs, hammertoe correction with our revolutionary Ossio implant and a tailor’s osteotomy bunionectomy. Michael was back on his foot 2 weeks after surgery and back in shoes in 8 weeks. He had no post-operative pain of significance and was so grateful that he invited us all to dinner at his restaurant (which was delicious)! The after image taken 12 weeks post-op.

Before

After

Pediatric Lapidus Forever Bunionectomy™

Ella is a 16-year-old with a painful bunion (hallux valgus) at the base of the big toe. Although her bunion was not large, it was very unstable and loose, not to menion painful. We performed a Lapidus Forever Bunionectomy™ on her foot with no pain and weight bearing at 2 weeks. Stephanie had no post-operative pain, no scar, no pain and no complaints. Just the way we like it.

The after image taken immediately following surgery.

Before

After

Osteotomy Bunionectomy, Hammertoe Correction and Plantar Plate Repair after

Osteotomy Bunionectomy, Hammertoe Correction and Plantar Plate Repair

Ziba is a 67-year-old female with years of foot pain. Her bunion was so severe she had placed a lot of weight on her 2nd and 3rd toes which had become totally dislocated (as shown in x-rays). Ziba required an osteotomy bunionectomy, hammertoes corrections with our Ossio™ implant and metatarsal phalangeal joint relocation and plantar plate repair. Ziba was allowed to place weight on her foot right after surgery and was back in shoes at 8 weeks. An amazing result considering how difficult toe relocation can be. After picture taken immediately following surgery.

Before

Failed Bunion Revision Surgery before

After

Failed Bunion Revision Surgery

Sherry is a 58-year-old female with a previous failed bunion surgery and a hammertoe deformity. She was very nervous to have revision surgery because her first experience had been very painful. Sherry has our miniBunion™ Minimally Invasive Bunion Surgery and also a hammertoe correction with our Ossio implant. She was weight-bearing right after surgery, had absolutely no pain, and was back in shoes in 5 weeks. She could not be happier or more satisfied. Revision of failed bunion surgery picture was taken 12 weeks post-op.

Before

After

Osteotomy Bunionectomy after

Osteotomy Bunionectomy

Russel is a 53-year-old male with a combination bunion and hallux rigidus great toe joint arthritis. Had has limited range of motion of the toe and pain with activity. Russel has a decompression osteotomy bunionectomy and was back in shoes at 4 weeks with no pain, removal of the arthritis and return of his great toe range of motion.

After picture taken immediately following surgery.

Before

Bunionectomy and Tailor's Bunion Correction before

After

Bunionectomy and Tailor's Bunion Correction

Sherry is a 58-year-old female with a previous failed bunion surgery and a hammertoe deformity. She was very nervous to have revision surgery because her first experience had been very painful. Sherry has our miniBunion™ Minimally Invasive Bunion Surgery and also a hammertoe correction with our Ossio implant. She was weight-bearing right after surgery, had absolutely no pain, and was back in shoes in 5 weeks. She could not be happier or more satisfied. Revision of failed bunion surgery picture was taken 12 weeks post-op.

Before

Osteotomy Bunionectomy and Plantar Plate Repair before

After

Osteotomy Bunionectomy and Plantar Plate Repair

Andrew is a 56-year-old male who has a very active lifestyle and travels. He has a painful large bunion and had developed a secondary hammertoe and plantar plate tear of the 2nd toe. Andrew had an osteotomy bunionectomy and a hammertoe correction with a plantar plate repair. He was ambulatory right after surgery and back in a shoe at 6 weeks. Andrew worked the entire time after surgery and had absolutely no pain or need for pain medication. After picture taken immediately after surgery.

Before

Lapidus Forever Bunionectomy™, Hammertoe Correction, Tailor's Bunionectomy before

After

Lapidus Forever Bunionectomy™, Hammertoe Correction, Tailor's Bunionectomy

Jamie is an active 44-year-old female with a painful bunion which was hypermobile and very lax. Over time she had also developed a hammertoe deformity of the 2nd toe and a tailor’s bunion deformity. Melissa had a Lapidus Forever Bunionectomy™ and a hammertoe correction of the 2nd toe with an osteotomy tailor’s bunionectomy. She was weight bearing at 2 weeks and back in shoes at 6 weeks. She had no pain and took only one day of pain medication after her foot surgery. The after image was taken two months post surgery.

Before

Lapidus Forever Bunionectomy™ and a Osteotomy Tailor’s Bunionectomy before

After

Lapidus Forever Bunionectomy™ and a Osteotomy Tailor’s Bunionectomy

Alexandra is a 34-year-old female elite athlete with a severe bunion deformity and some mild arthritis. She also had a tailor’s bunion deformity. We performed a Lapidus Forever Bunionectomy™ and an osteotomy tailor’s bunionectomy. Alexandra continued to train throughout her recovery and was back to her full sports activity at 8 weeks. She competed at an elite level just 12 weeks after bunion surgery.

The after picture taken six weeks post surgery.

Before

Lapidus Forever Bunionectomy™, Tailor's Bunionectomy before

After

Lapidus Forever Bunionectomy™, Tailor's Bunionectomy after

Lapidus Forever Bunionectomy™, Tailor's Bunionectomy

Irma is a 38-year-old female with a very lax and painful bunion deformity and a tailor’s bunion deformity. She underwent a Lapidus Forever Bunionectomy™ and also an osteotomy tailor’s bunionectomy. She was weight bearing at two weeks post-surgery and had no pain with her foot surgery. Irma was back in shoes at 6 weeks and at 3 months after surgery and she had no visible scar after her bunionectomies. The after image was taken 8 weeks post-op.

Before

After

MinVasive™ Minimally Invasive Bunionectomy featuring the CrossRoads miniBunion™ System

Latasha is a 54-year-old female with an active lifestyle. She had a painful and swollen bunion with difficulty in shoes. Latasha had a miniBunion™ Minimally Invasive Bunionectomy and was on her foot the day after surgery. She was back in shoes at 5 weeks and had no visible scar at 6 weeks. Latasha had an incredible range of motion and her bunion pain was completely gone. The after image was taken 12 weeks post-op.

Before

Osteotomy Bunionectomy and Osteotomy Tailors Bunionectomy before

After

Osteotomy Bunionectomy and Osteotomy Tailors Bunionectomy

Marquis is a 27-year-old athlete with bunion pain and great toe arthritis and a tailor’s bunion. The hallux rigidus great toe arthritis condition made his surgery more complicated. We performed a decompression osteotomy bunionectomy and an osteotomy tailor’s bunionectomy and Marquis was pain-free and in shoes only 4 weeks after surgery. Marquis had no arthritis or great toe pain following surgery and took no pain medication during his recovery. Bunionette surgery before and after picture was taken immediately after surgery.

Before

Lapidus Forever Bunionectomy™ with Hammertoe Correction and Planter Plate Repair before

After

Lapidus Forever Bunionectomy™ with Hammertoe Correction and Planter Plate Repair

Jonathan was an 18-year-old college athlete with a severe bunion deformity and a plantar plate tear with hammertoe. Jonathan had his freshman season starting just 4 months after surgery and we returned him to his season without missing a beat. Jonathan had our trademarked Lapidus Forever Bunionectomy™ combined with a hammertoe correction and plantar plate repair. He continued to train and stay in shape after surgery and was thrilled after his surgical repair. The after image was taken 12 weeks post-op.

Before

MinVasive™ Minimally invasive Bunion Surgery featuring the CrossRoads miniBunion™ System before

After

MinVasive™ Minimally invasive Bunion Surgery featuring the CrossRoads miniBunion™ System after

MinVasive™ Minimally invasive Bunion Surgery featuring the CrossRoads miniBunion™ System

Natalie is a fashionable young lady with a painful bunion that she could not fit in high heels. She also was concerned with her incision and look of her foot after surgery. Needless to say our MinVasive MiniBunion (featuring the CrossRoads miniBunion™ System) procedure was exceptional for her. She has a very easy recovery and is back in 4-inch heels with no pain or swelling. She could not be more pleased.

Before

After

Lapiplasty Bunion Surgery after

Lapiplasty Bunion Surgery

The Lapiplasty procedure addresses all three dimensions of the bunion by rotating the entire affected metatarsal bone back into normal alignment and securing it.

Before

MinVasive™ Minimally Invasive Bunionectomy featuring the CrossRoads miniBunion™ System before

After

MinVasive™ Minimally Invasive Bunionectomy featuring the CrossRoads miniBunion™ System

Michael is a 65-year-old male with a painful bunion. He had our trademarked MinVasive™ Minimally Invasive Bunionectomy (featuring the CrossRoads miniBunion™ System) and was on his foot right after surgery and back in shoes at 5 weeks. Michael had zero pain post-surgery and his range of motion was exceptional. His bunion scar was not visible 3 months after surgery and he stated that his surgical foot had less pain than his non-surgical foot. Minimally invasive bunion surgery after picture was taken 12 weeks post-op.

Before

Lapidus Forever Bunionectomy™ before

After

Lapidus Forever Bunionectomy™

Aimee is a 23-year-old recent college graduate who had trouble with her bunion in dress shoes. Aimee had a bunion since she was very young and so we performed our trademarked Lapidus Forever Bunionectomy™ and returned her to regular shoes at 6 weeks post-surgery. Aimee took one night of pain medication after her bunion surgery and had no visible scar 12 weeks after surgery.

Before

miniBunion™ Osteotomy Bunionectomy with Hammertoe Correction and Plantar Plate Repair before

After

miniBunion™ Osteotomy Bunionectomy with Hammertoe Correction and Plantar Plate Repair

Fariba is a 56-year-old female with extensive foot damage. She had a severe bunion with plantar plate tears and hammertoes of the 2nd and 3rd toes. She is very active and travels and walks extensively. Fariba required our trademarked MinVasive™ Osteotomy Bunionectomy (featuring the CrossRoads miniBunion™ System) and hammertoe corrections with metatarsal osteotomy and plantar plate repair of the 2nd and 3rd toes. She was able to walk on her foot right after surgery and was back in shoes at 6 weeks post-surgery. Fariba took no pain medication and had no visible scars three months after surgery. After picture was taken 12 weeks post-surgery.

Before

After

Bunionectomy featuring the CrossRoads miniBunion™ System after

Bunionectomy featuring the CrossRoads miniBunion™ System

Angela is a 47-year-old female with great toe arthritis and a tailor’s bunion. She required our trademarked miniBunon™ Bunionectomy with an osteotomy tailor’s bunionectomy with additional clean-up of the great toe arthritis. She was able to walk on the foot right after surgery and was back in shoes just 4 weeks after surgery. Angela had no great toe pain and began to run for fun after her surgery and ran a marathon just one year after surgery. She had amazing range of motion and no visible scars post her bunion and great toe arthritis surgery. After image taken 2 months post surgery.

Before

Lapidus Forever Bunionectomy™ before

After

Lapidus Forever Bunionectomy™ after

Lapidus Forever Bunionectomy™

Gene is a 56-year-old female with a sever bunion deformity and a very lax bunion deformity. She required our trademarked Lapidus Forever Bunionectomy™ and took no pain medication post-surgery. Gene was weight bearing just two weeks after her bunion surgery and back in shoes at just three weeks later. After picture taken two months post surgery.

Before

Lapidus Forever Bunionectomy™ before

After

Lapidus Forever Bunionectomy™

“After picture” taken six weeks following surgery.

Before

Lapidus Forever Bunionectomy™ and Hammertoe Correction before

After

Lapidus Forever Bunionectomy™ and Hammertoe Correction

Lapidus Forever Bunionectomy™ and hammertoe correction of the second metatarsal, after image take 3 months post-surgery.

Before

After

Lapidus Forever Bunionectomy™ , Tailor's Bunionectomy, Neuroma Excision

Lapidus Forever Bunionectomy™, Tailor’s bunion correction and excision of a second interspace neuroma. After Image taken five weeks post-surgery.

Before

Osteotomy Bunionectomy before

After

Osteotomy Bunionectomy after

Osteotomy Bunionectomy

After picture taken immediately following surgery.

Before

Osteotomy Bunionectomy before

After

Osteotomy Bunionectomy after

Osteotomy Bunionectomy

After images taken six weeks post surgery.

Before

Bunion Revision Surgery before

After

Bunion Revision Surgery after

Bunion Revision Surgery

Before

Osteotomy Bunionectomy before

After

Osteotomy Bunionectomy after

Osteotomy Bunionectomy

After image taken immediately following surgery.

Before

Bunionectomy and Plantar Plate Repair before

After

Bunionectomy and Plantar Plate Repair after

Bunionectomy and Plantar Plate Repair

“After” picture taken six weeks post surgery.

Before

After

Bunion Correction with Lapidus Procedure after

Bunion Correction with Lapidus Procedure

“After” picture taken 6 weeks following surgery.

Before

miniBunon™ Minimally Invasive Bunionectomy before

After

miniBunon™ Minimally Invasive Bunionectomy after

miniBunon™ Minimally Invasive Bunionectomy

“After” picture taken six weeks post surgery.

Before

After

Lapidus Forever Bunionectomy™ and Neuroma Removal after

Lapidus Forever Bunionectomy™ and Neuroma Removal

“After” picture taken 12 weeks post surgery.

Before

Lapidus Forever Bunionectomy™ before

After

Lapidus Forever Bunionectomy™

The malalignment of the great toe joint has been realigned and prominence has been removed. “After picture” taken six weeks after surgery.

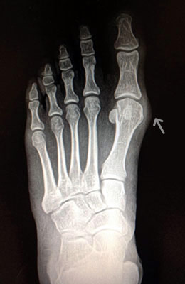
Before

Bunion Surgery (Osteotomy Bunionectomy) before

After

Bunion Surgery (Osteotomy Bunionectomy) after

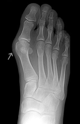
Bunion Surgery (Osteotomy Bunionectomy)

The prominence of the great toe joint has been removed realigning it back to a normal position “After” picture taken six weeks after surgery.

Before

Lapidus Forever Bunionectomy™ before

After

Lapidus Forever Bunionectomy™ after

Lapidus Forever Bunionectomy™

The malalignment of the great toe joint has been realigned and prominence has been removed. “After picture” taken six weeks after surgery.

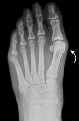
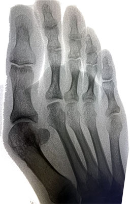
Before

Osteotomy Bunion Surgery before

After

Osteotomy Bunion Surgery after

Osteotomy Bunion Surgery

The great toe joint is now realigned, removing the enlargement at the base of the big toe. “After picture” taken six weeks after surgery.

Before

Lapidus Forever Bunionectomy™ with Hammertoe Correction before

After

Lapidus Forever Bunionectomy™ with Hammertoe Correction after

Lapidus Forever Bunionectomy™ with Hammertoe Correction

Before

Lapidus Forever Bunionectomy™, Hammertoe Correction, Osteotomy Tailors Bunion Surgery before

After

Lapidus Forever Bunionectomy™, Hammertoe Correction, Osteotomy Tailors Bunion Surgery after

Lapidus Forever Bunionectomy™, Hammertoe Correction, Osteotomy Tailors Bunion Surgery

Note prominence of the joint has been removed and great toe joint is now realigned. “After picture” taken eight weeks after surgery.

Before

After

Lapidus Forever Bunionectomy™ after

Lapidus Forever Bunionectomy™

The great toe in the before picture is elevated and contracted with amalaligned joint. Through bunion surgery, the joint has been corrected and realignment. “After picture” taken ten weeks after surgery.

Before

Lapidus Forever Bunionectomy™ Bunion Surgery before

After

Lapidus Forever Bunionectomy™ Bunion Surgery

The prominence of the joint has been removed and the great toe joint is now realigned. “After picture” taken two months after surgery.

Before

Revision of Failed Previous Bunion Surgery before

After

Revision of Failed Previous Bunion Surgery after

Revision of Failed Previous Bunion Surgery

This revision surgery included bunion revision, hammertoe correction and 2nd metatarsal osteotomy. “After” picture was taken immediately following surgery.

Before

Osteotomy Bunion Surgery before

After

Osteotomy Bunion Surgery after

Osteotomy Bunion Surgery

“After picture” taken six weeks post surgery.

Before

After

Revision Hallux Varus Correction after

Revision Hallux Varus Correction

Through hallux varus revision surgery, the great toe joint has been been realigned “After picture” taken six weeks following surgery.

Before

Lapidus Forever Bunionectomy™, Hammertoe Correction 5th Intermediate before

After

Lapidus Forever Bunionectomy™, Hammertoe Correction 5th Intermediate after

Lapidus Forever Bunionectomy™, Hammertoe Correction 5th Intermediate

“After” picture taken 4 weeks following the procedures.

Before

After

Lapidus Forever Bunionectomy™ after

Lapidus Forever Bunionectomy™

Lapidus Bunionectomy with play fixation allows for immediate weight bearing following surgery.

Before

Osteotomy Bunionectomy before

After

Osteotomy Bunionectomy after

Osteotomy Bunionectomy

Note prominence of the joint has been removed and great toe joint is now realigned. The 2nd, 3rd, and 4th toes have all been straightened and realigned as well. “After picture” taken two months after surgery.

Before

Lapidus Forever Bunionectomy™, Hammertoe Correction, Osteotomy Tailors Bunion Surgery before

After

Lapidus Forever Bunionectomy™, Hammertoe Correction, Osteotomy Tailors Bunion Surgery after

Lapidus Forever Bunionectomy™, Hammertoe Correction, Osteotomy Tailors Bunion Surgery

The lapidus procedure has eliminated the looseness in the toe joint and realigned the great toe.

Before

After

Osteotomy Bunionectomy after

Osteotomy Bunionectomy

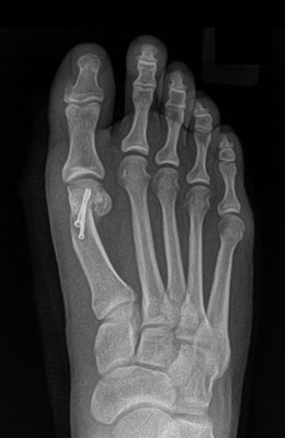
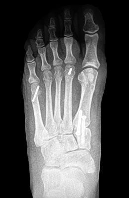
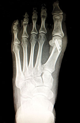
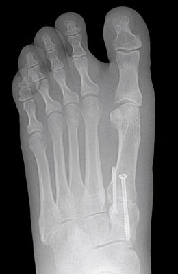
In this procedure (also known as an “Austin Bunionectomy), a cut in the bone was made, and the bone was shifted to realign the joint. A screw was placed to hold this new alignment in place. Notice the improved alignment of the great toe joint.

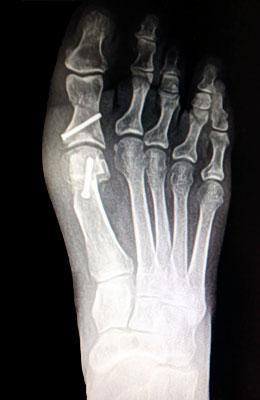
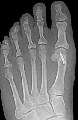
Before

Austin Bunionectomy with Akin Procedure before

After

Austin Bunionectomy with Akin Procedure after

Austin Bunionectomy with Akin Procedure

In the Austin procedure, a cut in the bone was made, and the bone was shifted to realign the joint. A screw was placed to hold this new alignment in place. Notice the improved alignment of the great toe joint. The Akin procedure involves making a bone cut in the toe bone and is used if there is a drift of the great toe towards the 2nd toe.

Before

After

Osteotomy Bunionectomy after

Osteotomy Bunionectomy

In this Austin bunionectomy procedure, a cut in the bone was made, and the bone was shifted to realign the joint. A screw was placed to hold this new alignment in place. Notice the improved alignment of the great toe joint.

Before

After

Lapidus Forever Bunionectomy™

In this Lapidus procedure, the joint behind the great toe joint, the 1st metatarsophalangeal joint, is fused together with the bunion in a more corrected position. Notice the improved alignment of the great toe joint. 2 screws were used to fixate the bones together and facilitate it towards fusion.

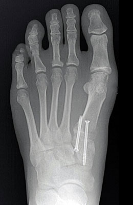
Before

Lapidus Forever Bunionectomy™ with Weil Procedure before

After

Lapidus Forever Bunionectomy™ with Weil Procedure

In this combined procedure, the joint behind the great toe joint, the 1st metatarsophalangeal joint, is fused together with the bunion in a more corrected position. Notice the improved alignment of the great toe joint. 2 screws were used to fixate the bones together and facilitate it towards fusion. In the Weil procedure, the 2nd metatarsal is shortened using a bone cut and fixed with a screw. Often, patients with a long 2nd metatarsal and a bunion will have pain underneath the ball of the foot. This procedure, in conjunction of correcting the bunion, helps to alleviate this pain.

Before

Lapidus Forever Bunionectomy™ before

After

Lapidus Forever Bunionectomy™ after

Lapidus Forever Bunionectomy™

In this Lapidus procedure, the joint behind the great toe joint, the 1st metatarsophalangeal joint, is fused together with the bunion in a more corrected position. Notice the improved alignment of the great toe joint. 2 screws were used to fixate the bones together and facilitate it towards fusion.

Before

Osteotomy Bunionectomy before

After

Osteotomy Bunionectomy after

Osteotomy Bunionectomy

In this Austin bunionectomy procedure, a cut in the bone was made, and the bone was shifted to realign the joint. A screw was placed to hold this new alignment in place. Notice the improved alignment of the great toe joint

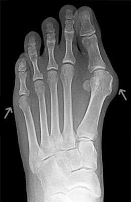
Before

Tightrope Procedure and Osteotomy Tailors Bunion Surgery before

After

Tightrope Procedure and Osteotomy Tailors Bunion Surgery after

Tightrope Procedure and Osteotomy Tailors Bunion Surgery

In this procedure, the 1st and 2nd metatarsal bones are brought together with strong suture material that is attached to a button. Notice the improvement in the alignment of the great toe joint. A tailor’s bunion correction was also performed on this patient.

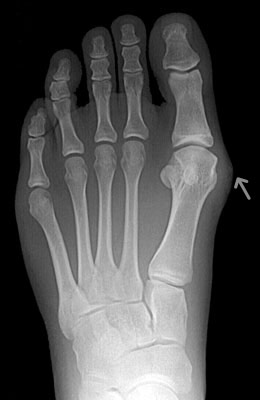
Before

After

Austin Bunionectomy

In this procedure, a cut in the bone was made, and the bone was shifted to realign the joint. A screw was placed to hold this new alignment in place. Notice the improved alignment of the great toe joint.

Before

Lapidus Forever Bunionectomy™ before

After

Lapidus Forever Bunionectomy™

In this procedure, the joint behind the great toe joint, the 1st metatarsophalangeal joint, is fused together with the bunion in a more corrected position. Notice the improved alignment of the great toe joint. 2 screws were used to fixate the bones together and facilitate it towards fusion.

Before

After

Osteotomy Bunionectomy after

Osteotomy Bunionectomy

In this Austin Bunionectomy, a cut in the bone was made, and the bone was shifted to realign the joint. A screw was placed to hold this new alignment in place. Notice the improved alignment of the great toe joint.

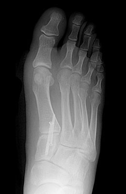
Before

Osteotomy Bunionectomy before

After

Osteotomy Bunionectomy after

Osteotomy Bunionectomy

In this Osteotomy Bunionectomy, a cut in the bone was made, and the bone was shifted to realign the joint. A screw was placed to hold this new alignment in place. Notice the improved alignment of the great toe joint.

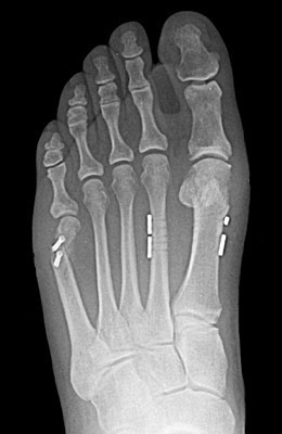
Before

Osteotomy Bunionectomy before

After

Osteotomy Bunionectomy after

Osteotomy Bunionectomy

In this Osteotomy Bunionectomy (also called an “Austin Bunionectomy), a cut in the bone was made, and the bone was shifted to realign the joint. A screw was placed to hold this new alignment in place. Notice the improved alignment of the great toe joint.