Is Toe Correction Surgery Is Right For You?
The physicians at University Foot and Ankle Institute pride themselves in offering the most innovative surgical options available. Our surgeons have decades of combined experience and expertise in the surgical treatment of bunions, hammertoe and hallux limitus (big toe arthritis).
Our state of the art surgical facilities offers full radiology including: on premise open MRI dedicated to the foot and ankle, weight bearing CT scanners, diagnostic ultrasounds and physical therapy services. This allows us to offer the most advanced care without the need to go from place to place.
Before
After
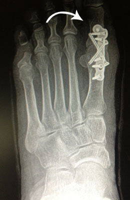
Bunion with Hammertoe Surgery
Before and after of a bunion with hammertoe deformity correction, with drifting of the 1st and 2nd toes towards each other. Both toes are now realigned behind their respective joints, with removal of the prominence at the great toe joint. See more bunion before and after pictures.
Before
After
Osteotomy Bunionectomy and Tailor's Bunionectomy
Before
After
Lapidus Bunionectomy
Before
After
Bunion Correction through Osteotomy Bunionectomy
Before
After
Correcting a Bunion through Surgery
The malalignment of the great toe joint has been realigned and prominence has been removed. See more bunion before and after pictures.
Before
After
Osteotomy Bunionectomy and Plantar Plate Repair
Before
After
Plantar Plate Surgery
Before
After
Osteotomy Bunionectomy, Hammertoe Correction and Plantar Plate Repair
Before
After
Hammertoe with Bunion
Clinical before and after picture of a bunion surgery. Note prominence of the joint has been removed and great toe joint is now realigned. See more bunion before and after pictures.
Before
After
Lapidus Bunionectomy, Hammertoe Correction, Osteotomy Tailors Bunion Surgery
Before
After
Arthrosurface Implant
Before
After
Great Toe Fusion
Before
After
Lateral Fusion of the Great Toe
Before
After
Bone Spur Removal
Before
After